Ethics code: IR.SEMUMS.REC.1398.120
Dermato-venerology specialist, Prestige Clinic, Bucharest, Romania , e_saberian@yahoo.com
Full-Text [PDF 377 kb]
(1040 Downloads)
|
Abstract (HTML) (1978 Views)
Full-Text: (743 Views)
Introduction
Pemphigus is refereeing to a collection of the autoimmune morbidity-causing blistering disorders of the skin and the mucous membrane (1). The underlying pathophysiology is the binding of IgG autoantibodies to transmembrane adhesion proteins, such as desmogleins (2). The diagnosis is confirmed by the lesion’s biopsies, direct immunofluorescence, and the presence of circulating autoantibodies. Early oral lesions are difficult to identify, since the lesions may be nonspecific, exhibiting superficial erosions or ulcerations, and rarely presenting with intact bullae (1). Mucus Membrane Pemphigoid (MMP) is a rare autoimmune subepithelial blistering disorder that primarily affects the mucous membranes (3). Oral lesions can appear anywhere on the oral mucosa as ulceration surrounded by an inflammatory area , desquamative gingivitis, vesicles and erosions covered by pseudomembranous (4). The scarring of the mucosa after the erosions and blistering lesions like Gingival Bullae healing is a distinctive hallmark of MMP (5). This case study presents a case of MMP with the complaint of burning sensation and oral intact bullae, which is a rare sign.
Case Presentation
The patient was a 55-year-old healthy woman without any significant medical history, who was referred to the Oral Medicine Department of Semnan University of Medical Sciences by an internist complaining of oral bullae and burning sensation for 3 weeks. Systemic and extra oral (ocular, cutaneous and other exposed areas) examination are not relevant. Biochemical investigations such as complete blood count, liver function tests, blood sugar estimation showed normal results. In intraoral examinations, multifocal gingival erythema and a 3.5 ×1.5 cm intact bullae was seen on the upper right buccal gingiva (Figure 1.a), which showed a positive Nikolsky's sign (Figure 1.b).
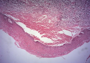
The histopathological result showed that subepithelial cleft contains fibrin and erythrocytes along with lymphocytes, eosinophils and neutrophils as inflammatory cells (Figure 2.a). The aggregation of erythrocytes presented in the area of bullae formation as well (Figure 2.b). The histopathology finding like fibrin net, separation of the epithelium from the basement membrane zone and … showed a Mucous Membrane Pemphigoid as a final diagnosis.
Gentle scaling and root planning were performed, then oral corticosteroid was administered with triamcinolone dissolved in warm water as a mouthwash 4 times a day for 14 days.
At the first follow-up, the patient reported a 50% reduction in symptoms, with partial healing of the lesions, erythema and inflammation. The dosage of triamcinolone was tapered to 2 times a day for the next 14 days. On the second follow-up, near100% reduction in symptoms was noticed; lesions and biopsy site healed almost completely. The corticosteroid dose was stopped. No recurrence lesion was observed in 2-year follow-up after finishing the treatment.
.png)
Fig. 1. gingival erythema and localized bullae were seen on the upper right buccal gingiva (a) which has positive Nikolsky's sign (b) in relation to 13 to 15.
a.png)
b
Fig. 2. Histopathological images with H&E staining: (a) Subepithelial cleft, (b) erythrocytes aggregation.
Discussion
Pemphigus is refereeing to a collection of life-threatening blistering disorders of the skin and the mucous membrane characterized by autoantibodies mediated acantholysis (loss of keratinocyte-to-keratinocyte adhesion) (1). The most prevalent kinds of blistering and pemphigoid disorders are Pemphigus Vulgaris (PV), Pemphigus Vegetans, Pemphigus foliaceus, Pemphigus erythematosus, Paraneoplastic Pemphigus (PNP), drug-related pemphigus , Mucous Membrane Pemphigoid (MMP), Epidermoid Bullosa Acquisita (EBA) and Linear IgA disease (LAD) (2). The oral lesions are the most common manifestation but the genital mucosa and the skin are less affected (1). Mucous membrane pemphigoid is a category of chronic autoimmune disorder that affects the mucosal surfaces and is characterized by subepithelial cleft (6,7). The oral mucosa is the most commonly affected (85%), followed by the ocular, nasal, anogenital, pharyngeal, laryngeal, and esophageal mucosa (6). MMP affects mostly the elderly, with a median age of 55 and women are more likely affected than men (8). Serious side effects could include strictures of the esophagus or anogenital areas, airway erosions and destruction, and eye impairment and blindness, depending on the place affected (1).
Oral lesions frequently manifest in the early stages, appearing throughout the oral mucosa (3,4). Desquamative gingivitis, erosions or extensive erythema commonly affect the gingiva, as observed in our patient, presenting as the sole symptom (1). Patients with oral mucous membrane pemphigoid (MMP) may exhibit tense serous or hemorrhagic bullae prone to rupture upon mechanical contact. Additional symptoms include pain, dysphagia, discomfort, hemorrhage, and/or mucosal peeling (2). Differential diagnoses for erosive oral sores encompass viral and bacterial infections, drug-induced reactions (such as Stevens-Johnson syndrome and toxic epidermal necrolysis), inflammatory disorders (like aphthous stomatitis), and systemic diseases (such as Behcet syndrome and Lupus erythematosus) (8). Oral lichen planus, an immune-mediated chronic disease, displays symmetric white reticular or popular patterns, erosions, bullous formations, and ulcerations. In contrast to pemphigoid, histopathological biopsies show subepithelial blistering without basal cell preservation (2). Nikolsky's sign, evident in our case, is a distinctive indicator for pemphigus and pemphigoid. It is triggered by lateral or tangential pressure on the peri-lesional area, resulting in peeling away of the epidermis in normal-appearing skin (9). Histopathology aids in distinguishing non-autoimmune bullous disorders, revealing subepithelial blistering with eosinophil, lymphocyte, and neutrophil infiltration (3), as observed in our sample. Direct immunofluorescence (DIF) is crucial for differentiating autoimmune bullous disorders, with a sensitivity of 69%-83% for diagnosing MMP (10). Although not applied to our patient, as H&E provided a diagnostic result, DIF is typically recommended.
A moderate- to high-potency topical steroid is advised for mild, non-progressive oral involvement. Systemic corticosteroids are recommended for extensive and progressing oral MMP during exacerbations. During the treatment course, our patient underwent close examination for potential side effects associated with long-term steroid use. Routine biochemical examinations conducted during therapy indicated good health, with no recurrence observed in follow-ups. Recognizing the significance of autoimmune vesiculo-bullous diseases, a comprehensive approach involving a detailed history, clinical examination, and biopsy with histologic and immunofluorescence analysis is essential. The prognosis could be in a variable range from remaining simple scar to life threatening. Appropriate topical or systemic corticosteroid therapy should follow, with routine follow-ups to prevent exacerbations and achieve remission.
Conclusion
We have observed an unusual symptom in a patient, where MMP oral lesions were identified alongside intact bulla development at the gingiva. It is crucial for dentists, ophthalmologists, and dermatologists to consistently monitor such patients. MMP should be considered as a potential differential diagnosis in any case of desquamative and vesicle-bullous disease. Dentists hold a key role in the early diagnosis and ongoing monitoring of these patients.
Acknowledgements
We would like to express special thanks to an internist that referred the patient as timely as possible.
Conflict of Interest
There is no Conflict of interest in this study.
Funding/Support
None.
Data Availability
The datasets used and/or analyzed during the current study are available from the corresponding author on a reasonable request.
Ethical Statement
This study was approved by the Semnan University of Medical Sciences Ethics Committee under the code IR.SEMUMS.REC.1398.120.
Type of Study:
case report |
Subject:
Other
References
1. Wolff K, Johnson RC, Saavedra A, Roh EK. Fitzpatrick's color atlas and synopsis of clinical dermatology: McGraw Hill Professional; 2017. [
URL]
2. Cooper S, Wojnarowska F. Bologna JL, Jorizzo JL, Schaffer JV. Dermatology. London: Elsevier; 2012. [
URL]
3. Buonavoglia A, Leone P, Dammacco R, Di Lernia G, Petruzzi M, Bonamonte D, et al. Pemphigus and mucous membrane pemphigoid: An update from diagnosis to therapy. Autoimmunity Rev 2019;18(4):349-58. [
DOI:10.1016/j.autrev.2019.02.005] [
PMID]
4. Scully C, Muzio LL. Oral mucosal diseases: mucous membrane pemphigoid. Br J Oral Maxillof Surg 2008;46(5):358-66. [
DOI:10.1016/j.bjoms.2007.07.200] [
PMID]
5. Rai A, Arora M, Naikmasur V, Sattur A, Malhotra V. Oral pemphigus vulgaris: case report. Ethiop J Health Sci 2015;25(4):637-372. [
DOI:10.4314/ejhs.v25i4.11]
6. Scully C, Carrozzo M, Gandolfo S, Puiatti P, Monteil R. Update on mucous membrane pemphigoidA heterogeneous immune-mediated subepithelial blistering entity. Oral Surg Oral Med Oral Pathol Oral Radiol Endod 1999;88(1):56-68. [
DOI:10.1016/S1079-2104(99)70194-0] [
PMID]
7. Bertram F, Bröcker EB, Zillikens D, Schmidt E. Prospective analysis of the incidence of autoimmune bullous disorders in Lower Franconia, Germany. Journal Deutschen Dermatologischen Gesellschaft 2009;7(5):434-9. [
DOI:10.1111/j.1610-0387.2008.06976.x] [
PMID]
8. Siu A, Landon K, Ramos DM. Differential diagnosis and management of oral ulcers. Ingenta Connect 2015;34(4):171-7. [
DOI:10.12788/j.sder.2015.0170] [
PMID]
9. Maity S, Banerjee I, Sinha R, Jha H, Ghosh P, Mustafi S. Nikolsky's sign: A pathognomic boon. J Fam Med Prim Care 2020;9(2):526. [
DOI:10.4103/jfmpc.jfmpc_889_19] [
PMID] [
]
10. Bean SF. Cicatricial pemphigoid: immunofluorescent studies. Arch Dermatol 1974;110(4):552-5. [
DOI:10.1001/archderm.1974.01630100012002] [
PMID]